Incredible Erosion Teeth 2023. How do i know i have dental erosion? Eat fruit at meal times rather than between meals.
Acid Reflux GERD Acid Erosion of Teeth Family Dentist Allen TX from allentxdentist.com
Floss your teeth once a day. Web you may want to consider tooth bonding if enamel erosion has caused discolourations on your front teeth. Brush your teeth at least twice a day.
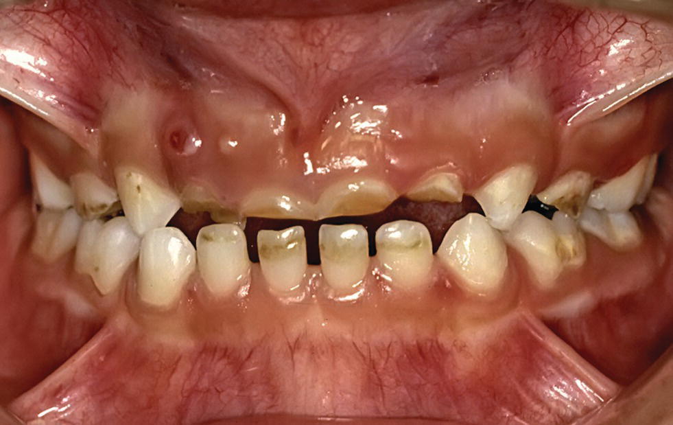
When The Enamel Is Worn Away, The Dentine Underneath Is Exposed, Which May Lead To Pain And Sensitivity.
The best way to treat enamel erosion is to prevent it from happening in the first place. Having too many soft drinks, which have lots of phosphoric and citric acids. Eat fruit at meal times rather than between meals.
Web You May Want To Consider Tooth Bonding If Enamel Erosion Has Caused Discolourations On Your Front Teeth.
Web tooth erosion happens when acids wear away the enamel on teeth. Web what is tooth erosion? Web tooth erosion occurs when excess acid wears away the tooth enamel, which is the hard, outer layer that gives teeth their structure.
Enamel Erosion Can Be Caused By The Following:
Drink fluoridated tap water rather than soft drink or juice. Teeth grinding chronic acid reflux, also known as gastroesophageal reflux disease (gerd) low salivary flow, also known as xerostomia, which is a symptom of conditions like diabetes regular use of certain medications, such as antihistamines and aspirin eating. In general, the calcium that occurs naturally in saliva will help neutralize the acid in the foods you.
Web Tooth Erosion May Occur As A Result Of:
Floss your teeth once a day. In more severe cases, your dentist may add a veneer or crown to your damaged teeth to prevent further decay. Web other causes of enamel erosion include:
Reduce How Often You Eat Or Drink Anything Acidic And Don’t Leave It Sitting In Your Mouth.
Web erosion is the loss of tooth enamel caused by acid attack. Web to reduce your risk of tooth erosion: When the enamel is worn away, the dentine underneath is exposed, which may lead to pain and sensitivity.
Table Of Content Creative Updo for Short Bob Hair Vintage Hairstyle Claw Clip Twist Heather Locklear Hairstyles – Layers, Dos, Loose Buns & Casual Haircuts Loose French Twist Ribbon Style The most significant “ingredient” is to slick your hair back entirely. Just like headbands and tiaras, headwraps are delightful hair accessories for short hair. If you don’t have a headwrap, you can also use a scarf for a similar effect. Do you prefer more of a high fashion touch to your hairstyles? Even if you have shorter hair, you can experiment with this fantastic hairdo. What we love most about it is that the braid in the middle creates stylishly the illusion of a mohawk. Creative Updo for Short Bob Hair A quick spritz of this in the hair will help add volume, texture and stop your hair slipping out of your updo so easily. If you have a fringe with your short crop or layers, you can opt for a bun with face-framing tendrils. Sleek and sophisticated, secure your strands in a low-knotted...
Table Of Content Wrap Around French Twist Back Braided Hair Messy and Curly Wavy Bob with Two Side Braids Mini buns #22: Edgier Braids on Short Hair If you have textured hair you can easily create an updo that allows your curls to take centre stage. For a special occasion, you can then add a few chic metallic accessories for a doubly sophisticated look. Volume, volume, volume is the secret behind this elegant style. Wrap Around French Twist Keep the braid loose and use a clear rubber band to secure it. A braided updo is great for holding short strands in place and leaves so much room for creativity. Start by adding a few braids to your hair — try different techniques like a fishtail braid, cornrows or baby braids and use clear hair ties to secure them. Once you’ve finished your braids, gather your strands into a ponytail to secure your updo. Leave them as ponytails or twist them into buns, securing them with bobby pins to finish off your custom look. There’s no set way to ach...
Table Of Content Watch the Free Course on InDesign Restaurant Menu Design The Sandwich Gallery restaurant menu Fine dining restaurant menu example: Elaia, St. Louis MO Art of the Menu: 21 Menu Design Ideas That Are Dine-amite What type of menu do most restaurants use in 2024? High-profit items will not positively impact your business’s financials if you do not sell a high enough volume. Every food and beverage name should tell a story, and people (like places) are a great way to do that. The description of a dish is where you can elaborate on its name, and add mouth-watering details (like ingredients) to set it apart from the competition. Place an exceptionally expensive item within close proximity of the item you really want your guests to buy. Watch the Free Course on InDesign Restaurant Menu Design With a simple yet attention-grabbing restaurant menu design, this bar food menu template showcases your beers in an easy-to-read format. Don't stop at beers—you can easily c...
Comments
Post a Comment